The highest quality endodontic care possible
Our Philosophy
Thank you for considering Advanced Endodontics of Ventura, the specialty practice of Dr. Brian T. Barker. Our mission is to provide you with the highest quality endodontic care possible. We achieve this with compassionate and personalized service, thorough communication, and by utilizing cutting-edge technology.
Compassionate and Personalized Service
Dr. Barker and his well trained staff will treat you with kindness, gentleness, and honesty. We will take the time to make sure you are well informed of your unique diagnosis and available options so that you can choose the best treatment for yourself.
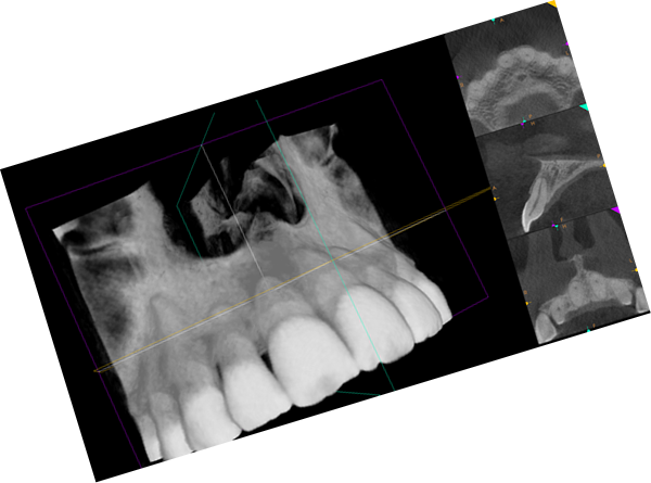
State-of-the-Art Technology
We utilize high powered Zeiss microscopes, advanced Cone Beam CT 3-D imaging, and sophisticated low dose digital radiography to obtain an accurate diagnosis, comfortable and efficient treatment, and predictable long term results.












